找回密码
 立即注册
查看: 647|回复: 0

嗅沟脑膜瘤误诊为精神分裂症:警惕家族史的误导

[复制链接]

2305

主题

251

回帖

1万

积分

管理员

积分
15055
QQ
发表于 2017-2-7 21:12:33 | 显示全部楼层 |阅读模式
  55岁以上初发精神分裂症的情况并不多见。事实上,该年龄段群体的大部分精神病性症状继发于躯体疾病、酒药滥用、痴呆、谵妄及情感障碍等。然而在实际临床工作中,中老年患者被误诊为精神分裂症的情况并不少见。

  一项发表于1月《临床精神病学杂志》的病例报告中,一名59岁的女性患者由于一系列阴性症状,以及颇具误导性的家族史阳性,一度被诊断为精神分裂症;后诊断为嗅沟脑膜瘤,手术切除后痊愈。

  病例

  A女士,59岁,因精神状态改变入院。其家人发现患者意识混乱,行为反复无常,莫名说一些关于“制造魔法药”的话。出现这些表现之前,患者曾诉说视物模糊及视觉紊乱,包括在家看到一些“生物”。

  患者躯体疾病史阴性。由于此前曾出现情感平淡、意志减退、自我照料下降及缺乏社交兴趣等一系列阴性症状表现,同时精神分裂症家族史阳性,依据DSM-IV,患者被诊断为精神分裂症,并已接受了3年的门诊精神科治疗。尽管患者每14天注射一次氟奋乃静长效针剂(50mg),上述症状仍持续存在。

  精神检查所见:患者体格瘦弱,衣冠凌乱,并无急迫的痛苦;言语条理清楚,但显迟疑,且无声调变化;思维存在离题现象;情感平淡;注意力不集中,被询问后须花费一段时间方可形成应答,且等待时间长短不等。患者否认存在妄想,但却表现出怪异的、非系统的离题观念,如制造魔法药。患者承认视幻象,但缺乏任何感官上的典型幻觉。

  认知测查显示,患者对地点及时间失去定向力,短期回忆及系列注意力任务功能受损,并可查及视空间受损相关的结构性失用。患者的抽象思维呈现具体化趋势,对假想场景判断的反应欠佳。来自家人及患者门诊医师的信息显示,患者的上述认知紊乱已偏离了患者的基线水平。

大脑

大脑


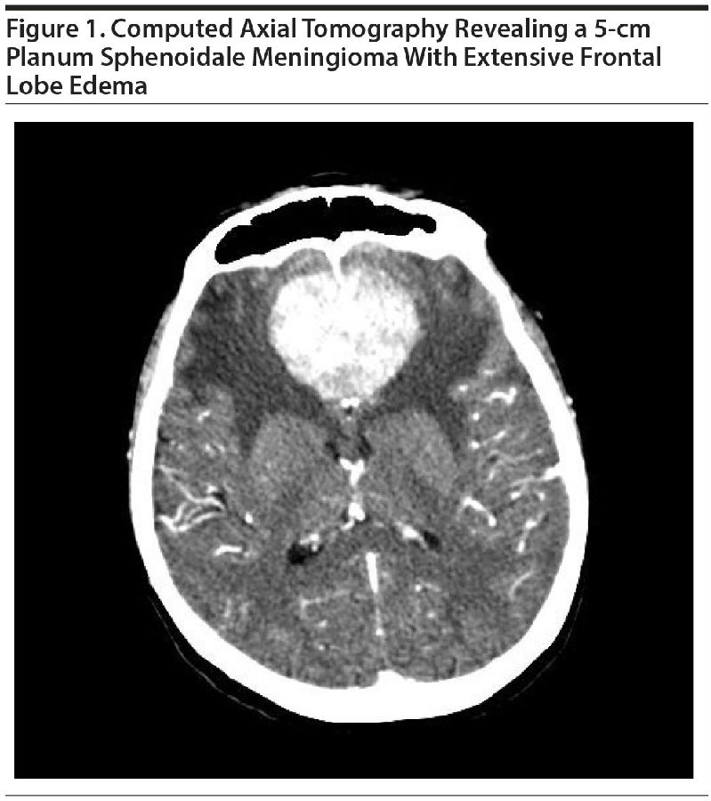
  蝶骨平台处可见一5cm肿瘤,伴广泛的额叶水肿(LeoRJ,2016)

  实验室检查未能发现足以解释患者上述异常的结果。头颅CT提示,蝶鞍前部的蝶骨平台存在一5cm大小的肿块,额叶存在广泛水肿(如上图)。磁共振成像进一步确认了肿块的存在,其体积较大,高度血管化,考虑为嗅沟脑膜瘤。遂请神经外科会诊,行双额开颅手术以切除肿块。患者谵妄消失,先前“精神分裂症”所导致的症状在为期1年的随访内未再出现;抗精神病药也已停用。

  讨论

  嗅沟脑膜瘤是一种相对少见的、生长缓慢的肿瘤,可导致隐匿的进展性症状。患者常表现为人格改变及认知紊乱。除非肿瘤长至相当大的体积,上述改变可能并不明显;然而其他因素,包括肿瘤周围水肿及继发性的脑组织压迫,可能对临床表现造成影响。患者也可能出现神经系统症状,如头痛及视/嗅觉改变等,但并非不可逆。有20%的患者以精神症状为主诉,包括情感紊乱及精神病。将一种可经由神经外科治疗的器质性疾病误诊为“功能性疾病”,可能导致前者变得无法识别及治疗。

  在本病例中,直到患者表现很“乱”,其器质性病因方得到揭示。患者的门诊医师过于受到患者家族史阳性的影响,忽略了脑影像这一有助于发现潜在病因的检查手段。然而回过头去看,患者数年前的精神状况即提示神经科评估的需要:

  1、精神病性症状出现时已超过了常见的易患年龄;

  2、症状不典型,如情感平淡、淡漠、意志减退等,与额叶功能异常的表现一致;

  3、对抗精神病药治疗应答不佳。

  生长缓慢的肿瘤,如脑膜瘤,可导致孤立的精神症状;在肿瘤体积达到一定程度之前,认知改变可能并不显著;此类肿瘤相关的妄想内容相对简单,复杂性和系统性不及精神分裂症患者。另外,在给出一个欠成熟的精神科诊断之前,临床医师务必注意,不要被阳性家族史“带跑”了。

  文献索引:LeoRJ,ACaseofOlfactoryGrooveMeningiomaMisdiagnosedasSchizophrenia.JClinPsychiatry2016;77(1):67–68

  附:老年患者出现精神病性症状时,须考虑以下6个“D”:

精神病

精神病

  备注:排除继发病因后方可诊断原发精神病(ReinhardtMM.2015)

  哪些表现提示,患者的精神病性症状可能为继发性?

精神病

精神病

  (ReinhardtMM.2015)

  文献索引:ReinhardtMM,CohenCI.Late-lifepsychosis:diagnosisandtreatment.CurrPsychiatryRep.2015Feb;17(2):1.doi:10.1007/s11920-014-0542-0.

  医脉通编译,转载请注明出处。

您需要登录后才可以回帖 登录 | 立即注册

本版积分规则

QQ|手机版|小黑屋|精神病论坛 Discuz! X3.5Powered by © 2001-2013 Comsenz Inc.

快速回复 快速发帖 返回顶部 返回列表